Discover Our Advanced Diagnostic Tests

At Harley Street Physicians, we pride ourselves on offering a comprehensive range of top-tier diagnostic tests designed to provide accurate, early detection and effective monitoring of a wide variety of health conditions. 

BLOOD TESTS

We offer a wide range of blood tests for individuals, covering everything from routine Blood checks to more specific investigations such as cancer markers.,

HEART, ABDOMEN & PELVIS ULTRASOUND​

Our Heart, abdomen and pelvis ultrasound offers a safe, non-invasive way to assess Major internal organs such as the liver, kidneys, gallbladder, pancreas, bladder, Prostate, uterus, and ovaries.

CT CALCIUM SCORE

Discover peace of mind with our CT Calcium Score, a powerful diagnostic tool that assesses the health of your coronary arteries in A Quick Test.

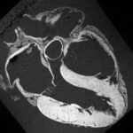
ECHOCARDIOGRAM

Our Echocardiogram offers a comprehensive and detailed examination of the heart's structure, Valves and functioning Using advanced ultrasound technology

CAROTID DOPPLER ULTRASOUND​

This non-invasive scan evaluates blood flow through the carotid arteries in the neck, which supply blood to the brain. It helps detect narrowing or blockages that could increase the risk of having a stroke.

STRESS ECHOCARDIOGRAM

This test assesses how well your heart functions under physical stress, using a treadmill to simulate exercise. This test helps identify areas of poor blood flow, heart muscle damage and coronary artery diseases.

BRAIN MRI

A brain MRI is commonly used to investigate symptoms such as headaches, dizziness, seizures and can help detect conditions like tumours, strokes, inflammation, and multiple sclerosis.

Please note that is not an appointment confirmation and one of our team members will follow up on your enquiry shortly.

contact us

Find us Here

58 Harley Street​
London, W1G 9QB

Get In touch

020 7580 3145
info@harleystreetphysicians.co.uk​

Opening Hours

Mon- Fri: 8am- 6pm

Disabled Access Available

At our offices at the Harley Street Hospital

Don’t wait to take control of your health. Book your appointment today and experience the difference expert care makes.